しゃくれ(受け口)とは

矯正歯科では「しゃくれ(受け口)」のことを「下顎前突」や「反対咬合」と呼びます。通常の歯並びでは上あごの歯が下あごの歯よりも前にでて重なりますが、対して「下顎前突」は上あごよりも下あごが前にでている状態を指します。本来の形とは逆の位置になるため、かみ合わせや発音に支障をきたします。
しゃくれ(受け口)の原因
- 遺伝的なもの
- 日常の癖
下あごが大きい、または上あごが小さいことによって上顎前突になっている場合、遺伝的な要因であることがほとんどです。
矯正装置による治療または外科手術を行う場合があります。
噛むときにあごを前に突き出す癖によって下顎前突を引き起こすことがあります。
癖の改善と、歯の角度の矯正治療を行います。この場合は遺伝的なものと比較して、短期間で治療をすることが可能です。
しゃくれ(受け口)のリスクと治療の目的
下顎前突の場合、第一に見た目に強いコンプレックスを抱く人が多くいらっしゃいます。下あごがしゃくれていて長く見えますし、発音においても「サ行」や「タ行」が発音しづらくなるなどの影響が出ることがあります。
また、上顎前突は歯がしっかり噛み合わず、食べ物を噛み切りにくい状態です。日々の食事の中で無意識に顎関節を痛め、顎関節症を誘発するリスクもあります。特に成長期に下顎前突の兆しがある場合は、上下のあごの成長バランスが崩れるおそれがあるため、早期発見・早期改善が望まれます。
まずはどんな治療法になる可能性があるのか、一度お気軽にご相談ください。
いしかわ矯正歯科が提案する しゃくれ(受け口)の治療法
| 反対咬合の治療(非抜歯) | |
| 主訴/ニーズ | しゃくれ(受け口) |
|---|---|
| 治療期間 | 2年 |
| 治療内容 | 上下マルチブラケット |
| 費用 | 78万円程度(+毎月の処置費用がかかります) |
| 主なリスク | 治療中の歯磨きが難しくなる・しゃべりにくくなる・歯や頬が痛くなることがある |
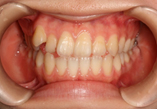
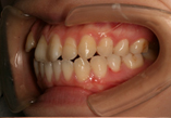
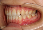
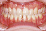
| 治療前 |
![]() ![]() ![]() |
| 治療中 |
![]() ![]() ![]() |
| 治療後 |
![]() ![]() ![]() |
| 反対咬合の治療(裏側からの矯正)(抜歯) | |
| 主訴/ニーズ | しゃくれ(受け口) |
|---|---|
| 治療期間 | 2年半 |
| 治療内容 | 上下リンガルブラケット |
| 費用 | 110万円程度(+毎月の処置費用がかかります) |
| 主なリスク | 治療中の歯磨きが難しくなる・しゃべりにくくなる・歯や頬が痛くなることがある |
| 治療前 |
![]() ![]() ![]() |
| 治療中 |
![]() ![]() ![]() ![]() ![]() |
| 治療後 |
![]() ![]() ![]() |
| 受け口の2段階の治療(前期)(非抜歯) | |
| 主訴/ニーズ | しゃくれ(受け口) |
|---|---|
| 治療期間 | 2年半 |
| 治療内容 | プレート(FKO) |
| 費用 | 35万円程度(+毎月の処置費用がかかります) |
| 主なリスク | 装置が合わないと痛みが出ることがある |
| 治療前 |
![]() ![]() ![]() |
| I期治療(プレートおよびFKO) |
![]() ![]() ![]() |
| 受け口の2段階の治療(後期)(非抜歯) | |
| 治療期間 | 4年 |
| 治療内容 | 上下マルチブラケット |
| 費用 | 41万円程度(+毎月の処置費用がかかります) |
| 主なリスク | 治療中の歯磨きが難しくなる・しゃべりにくくなる・歯や頬が痛くなることがある |
| II期治療 |
![]() ![]() ![]() |
| 治療後 |
![]() ![]() ![]() |
| 反対咬合(抜歯) | |
| 主訴/ニーズ | 反対咬合 |
|---|---|
| 治療期間 | 2年 |
| 治療内容 | 上下マルチブラケット |
| 費用 | 78万円程度(+毎月の処置費用がかかります) |
| 主なリスク | 治療中の歯磨きが難しくなる・しゃべりにくくなる・歯や頬が痛くなることがある |
| 治療前 |
![]() ![]() ![]() |
| 治療中 |
![]() ![]() ![]() |
| 治療後 |
![]() ![]() ![]() |
| 受け口の治療(外科手術併用による矯正治療) | |
| 主訴/ニーズ | しゃくれ(受け口) |
|---|---|
| 治療期間 | 2年半 |
| 治療内容 | 外科手術併用矯正治療 |
| 費用 | 保険治療 |
| 主なリスク | 治療中の歯磨きが難しくなる・しゃべりにくくなる・歯や頬が痛くなることがある |
| 手術前 |
![]() ![]() ![]() |
| 治療後 |
![]() ![]() ![]() |
矯正治療のリスク
矯正治療は矯正の知識と患者さんの協力により、良い結果を生むことができます。身体の治療と同じようにいくつかのリスクおよび限界があることを、知っておかなければなりません。














































