「いしかわ矯正歯科」掲示板 一覧ページ|川崎市川崎区の矯正歯科「いしかわ矯正歯科」
JR川崎駅・京急川崎駅より徒歩5分
MENU
当院について
診療コンセプト
スタッフ紹介
アクセス
医院内紹介
お問い合わせフォーム
ブログ
治療メニュー
矯正治療の流れ
矯正治療の基礎知識
取り扱い矯正装置
矯正は治療後が重要です
料金表・医療費控除
矯正治療のなぜ
一般歯科の矯正治療との違い
こんなトラブルありませんか?
× 閉じる
矯正治療の流れ
矯正治療の基礎知識
取り扱い矯正装置
矯正は治療後が重要です
料金表・医療費控除
いしかわ矯正歯科掲示板一覧ページ
ホーム
>
いしかわ矯正歯科掲示板一覧ページ
症例・ブログ・患者さんの声の一覧ページ
症例
ブログ
患者さんの声
患者さんの声
2016/03/22
患者さんの声4
患者さんの声
2016/03/22
患者さんの声3
患者さんの声
2016/03/22
患者さんの声2
患者さんの声
2016/03/22
患者さんの声1
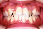
症例
2016/03/09
叢生(でこぼこ)裏側からの矯正②
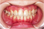
症例
2016/03/09
叢生(でこぼこ)裏側からの矯正
症例
2016/03/09
叢生(でこぼこ)抜歯
症例
2016/03/09
叢生(でこぼこ)非抜歯
<<
1
2
3
4
5
6
7
8
9
10
11
12
13
14
15
16
17
>>